再治療

RETREATMENT

症例集(Before-After)

症例1
開咬
抜歯
ブラケット矯正
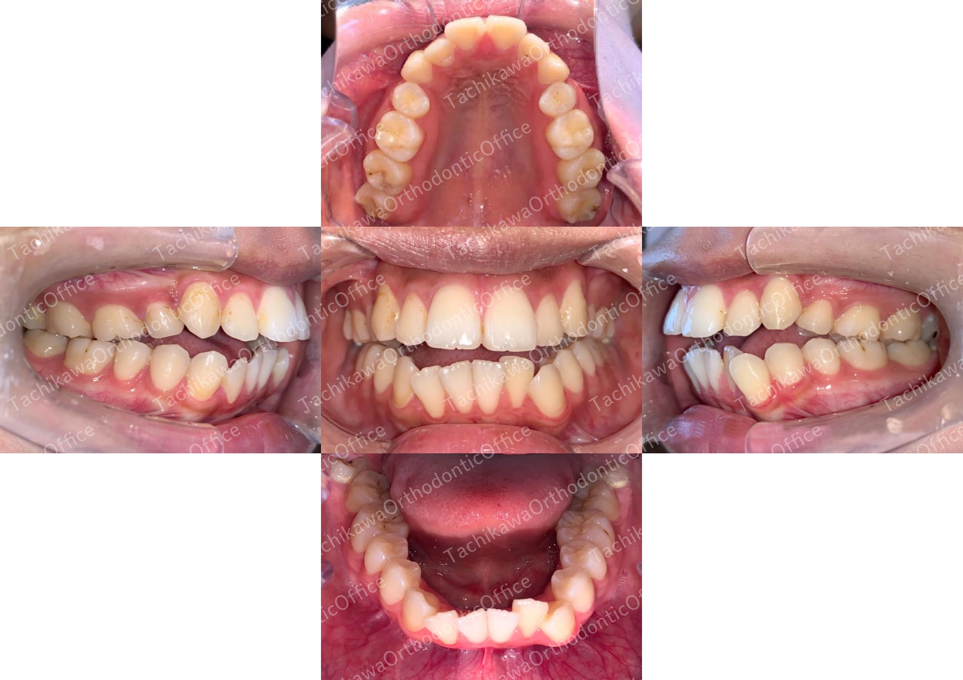
他医院で治療済み/当院にて再治療

主訴 前歯が噛んでいない(矯正治療済)
年齢 20代女性
お住まいのエリア 橋本市
診断 骨格性開咬
治療 上顎両側第一小臼歯は前回の治療ですでに抜歯されている。
上下左右智歯4本抜歯。
顎関節の異常を認めたため、スプリントにて顎の位置を安定させたのち下顎左側第二小臼歯を抜歯し再治療。
装置 スプリント、ハーフリンガル矯正
装置装着期間 3年2ヶ月(内ハーフリンガルを用いた期間1年9ヶ月)
リスク 歯肉退縮、歯根吸収
費用 (装置料・技術料)¥950,000 ※保定装置、アンカースクリュー含む
(処置料)¥5000×12 ¥7,000×15回
BEFORE
AFTER

初診相談とは?

子どもの矯正治療をする時期は顎の成長、乳歯から永久歯への生え変わりというイベントがあります。成長という不確定な要素があるため、子供の矯正治療こそ正確な診断を要求されます。

初診相談について

TOPへ戻る