症例集(Before-After)
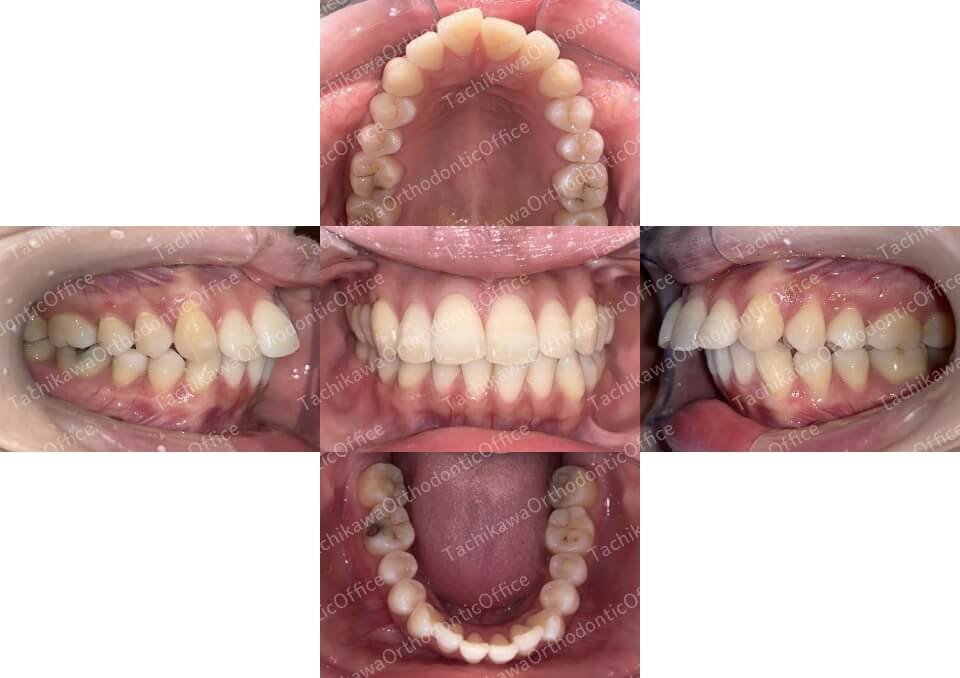
症例1
上顎前突、叢生
| 主訴 | ガタガタ、出っ歯 |
|---|---|
| 年齢 | 20代女性 |
| お住まいのエリア | 八王子市 |
| 診断 | 骨格性上顎前突 |
| 治療 | 上顎両側第一小臼歯抜歯 |
| 装置 | ラビアル矯正(前歯部セラミック) |
| 装置装着期間 | 1年11ヶ月 |
| リスク | 歯肉退縮、歯根吸収 |
| 費用 | (装置料・技術料)¥675,000 ※保定装置・アンカースクリュー含む (処置料)¥5,000×22回 |
症例2
叢生
| 主訴 | ガタガタ |
|---|---|
| 年齢 | 20代女性 |
| お住まいのエリア | 八王子市 |
| 診断 | 叢生 |
| 治療 | 非抜歯 |
| 装置 | ラビアル矯正(前歯部セラミック) |
| 装置装着期間 | 1年3ヶ月 |
| リスク | 歯肉退縮、歯根吸収 |
| 費用 | (装置料・技術料)¥675,000 ※保定装置含む (処置料)¥5,000×16回 |
症例3
空隙歯列
| 主訴 | 隙間 |
|---|---|
| 年齢 | 20代男性 |
| お住まいのエリア | 小平市 |
| 診断 | 空隙歯列 |
| 治療 | 非抜歯 |
| 装置 |
マウスピース型矯正装置(インビザライン) ※ インビザラインは、完成物薬機法対象外の矯正歯科装置であり、承認薬品を対象 とする医薬品副作用被 害救済制度の対象外 となる場合があります。 |
| 装置装着期間 | 9ヶ月 |
| リスク | 歯肉退縮、歯根吸収 |
| 費用 | (装置料・技術料)¥350,000 ※保定装置含む (処置料)¥5,000×8回 |
症例4
叢生
| 主訴 | ガタガタ |
|---|---|
| 年齢 | 20代女性 |
| お住まいのエリア | 東大和市 |
| 診断 | 叢生 |
| 治療 | 上下左右第一小臼歯抜歯 |
| 装置 |
マウスピース型矯正装置(インビザライン) ※ インビザラインは、完成物薬機法対象外の矯正歯科装置であり、承認薬品を対象 とする医薬品副作用被 害救済制度の対象外 となる場合があります。 |
| 装置装着期間 | 2年2ヶ月 |
| リスク | 歯肉退縮、歯根吸収 |
| 費用 | (Total Fee)¥900,000 ※保定装置含む |
症例5
叢生
| 主訴 | 歯の凸凹、前歯の見え方 |
|---|---|
| 年齢 | 20代女性 |
| お住まいのエリア | 国立市 |
| 診断 | 叢生 |
| 治療 | 非抜歯 |
| 装置 | 上下舌側矯正 |
| 装置装着期間 | 11ヶ月 |
| リスク | 歯肉退縮、歯根吸収 |
| 費用 | (装置料・技術料)¥1,150,000 ※保定装置含む (処置料)¥8,000×13回 |
症例6
上顎前突
| 主訴 | 出っ歯、横顔 |
|---|---|
| 年齢 | 20代女性 |
| お住まいのエリア | 立川市 |
| 診断 | 骨格性上顎前突 |
| 治療 | 上顎両側第一小臼歯抜歯 |
| 装置 | ハーフリンガル矯正 |
| 装置装着期間 | 1年9ヶ月 |
| リスク | 歯肉退縮、歯根吸収 |
| 費用 | (装置料・技術料)¥950,000 ※保定装置、アンカースクリュー含む (処置料)¥7,000×22回 |
症例7
開咬
| 主訴 | 前歯が噛んでいない(矯正治療済) |
|---|---|
| 年齢 | 20代女性 |
| お住まいのエリア | 橋本市 |
| 診断 | 骨格性開咬 |
| 治療 | 上顎両側第一小臼歯は前回の治療ですでに抜歯されている。 上下左右智歯4本抜歯。 顎関節の異常を認めたため、スプリントにて顎の位置を安定させたのち下顎左側第二小臼歯を抜歯し再治療。 |
| 装置 | スプリント、ハーフリンガル矯正 |
| 装置装着期間 | 3年2ヶ月(内ハーフリンガルを用いた期間1年9ヶ月) |
| リスク | 歯肉退縮、歯根吸収 |
| 費用 | (装置料・技術料)¥950,000 ※保定装置、アンカースクリュー含む (処置料)¥5000×12 ¥7,000×15回 |